
Tratamiento para reparar piezas dentales con caries o fracturas. Se utiliza resina del color del diente para una restauración estética y funcional.

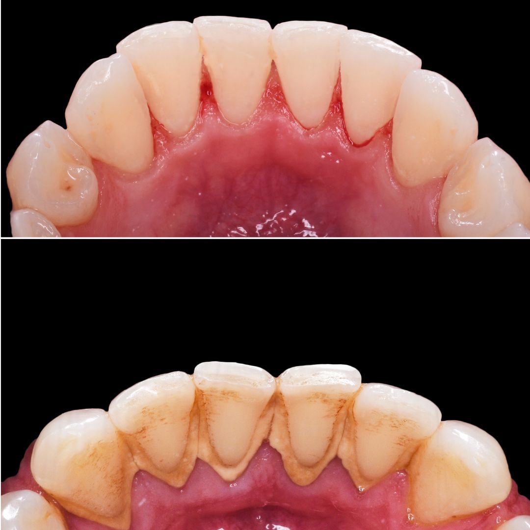
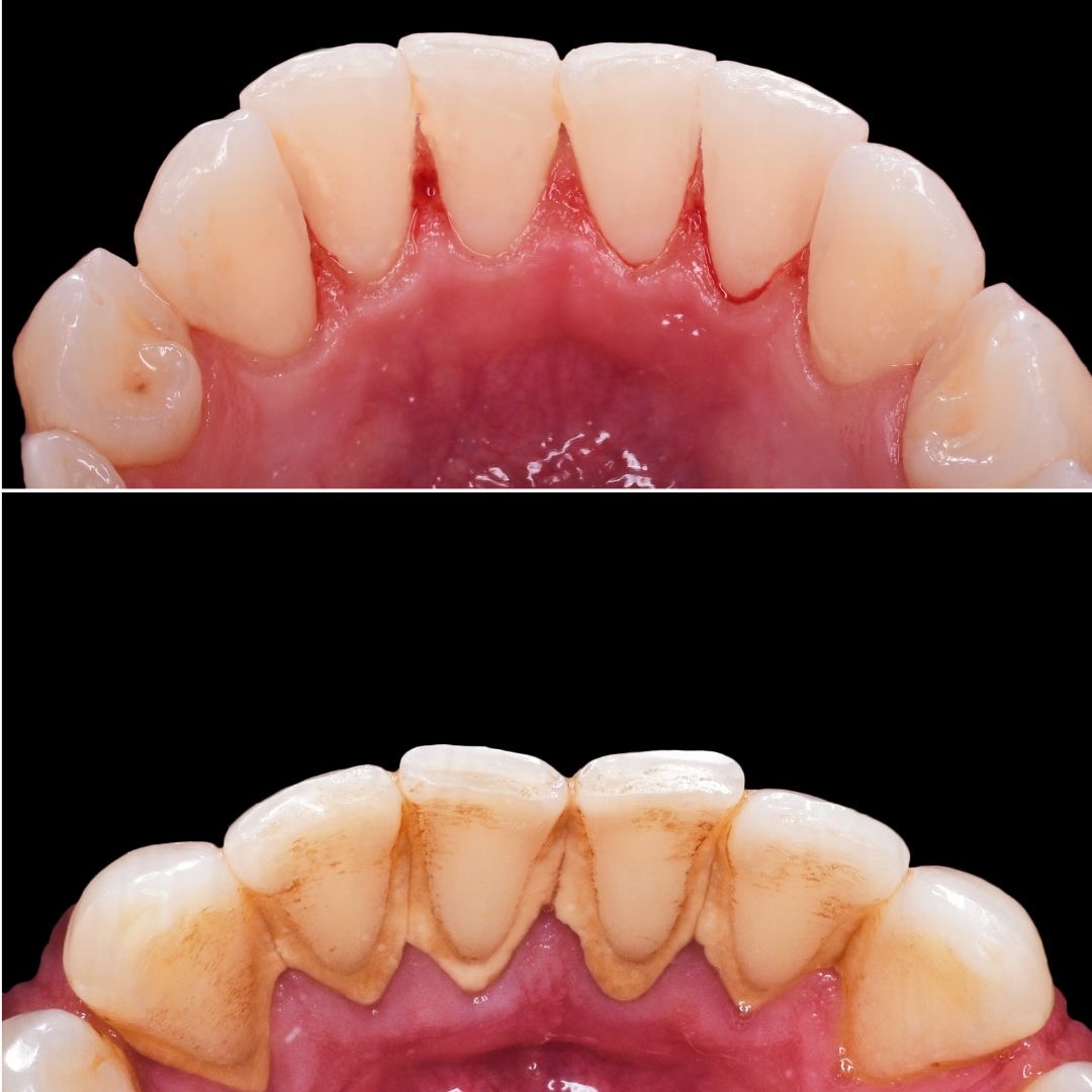
Limpieza profunda que elimina el sarro acumulado en dientes y encías, ayudando a prevenir enfermedades periodontales y mantener la salud bucal.

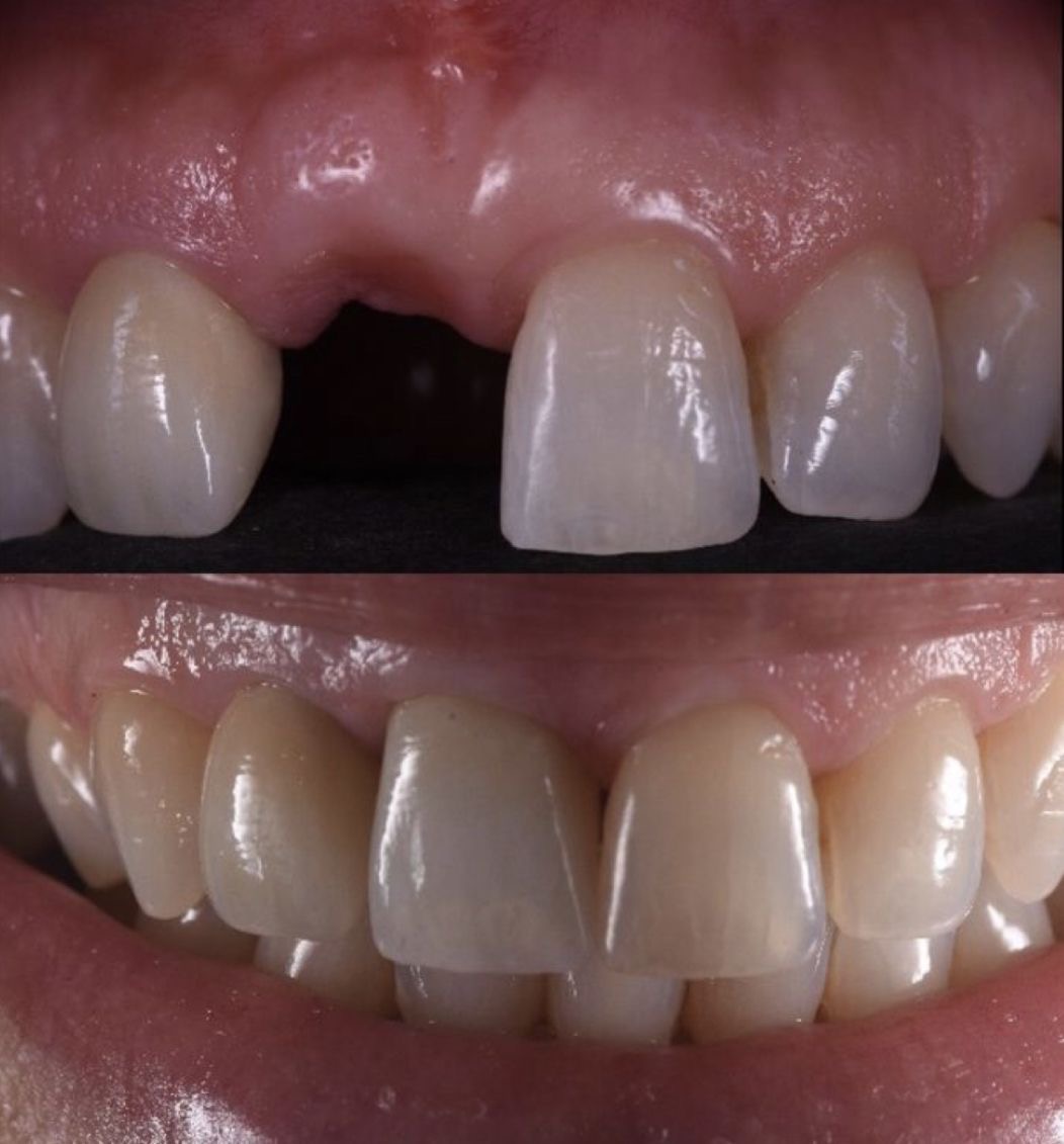
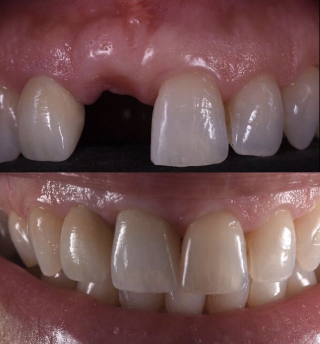
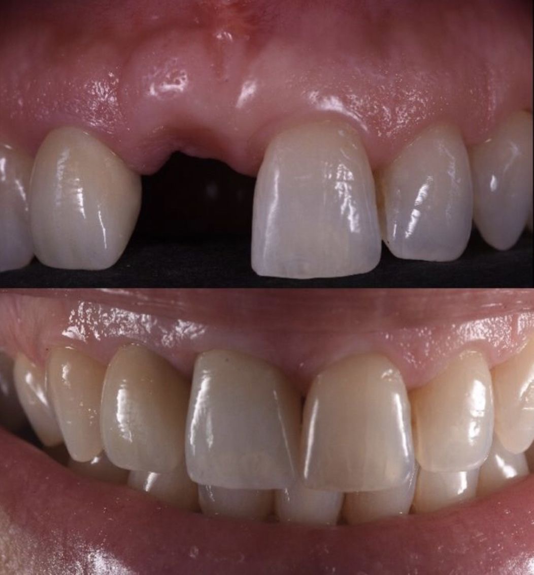
Fundas personalizadas que recubren un diente dañado o debilitado, devolviendo su forma, resistencia y apariencia natural.

Plan estético personalizado que mejora la forma, color y alineación de los dientes para lograr una sonrisa armónica y atractiva.

Solución funcional y estética para reemplazar uno o varios dientes perdidos. Pueden ser fijas o removibles, según cada caso.

Obturaciones

Destartraje

CORONAS

Diseño de sonrisa

Prótesis